browser icon
You are using an insecure version of your web browser. Please update your browser!
Using an outdated browser makes your computer unsafe. For a safer, faster, more enjoyable user experience, please update your browser today or try a newer browser.

2026 – 08 Gebroken

Posted by on 21 April 2026

Gebroken dromen en scapula

10 april

Lekker survivallen met het bedrijf. Ik had het in de ochtend naar mijn zin. Op tijd. Hardloopspullen mee voor naderhand. Over balkjes die de collega’s vasthielden. Durf ik best!

Kletsen met H. We gingen met zijn 8-en survivallen. Ik ben niet bang. Wil niet vies worden, maar de soort stormbaan ziet er goed uit. Laag bij de grond in een netje omhoog.

Na 2 of 3 stappen verlies ik evenwicht, val wat naar rechts en vang het op. auw. Het doet pijn. Er is iets verrekt. Ik stap nog iets verder en laat dan los. Ik word misselijk van de pijn en ga liggen. Adem blijven halen. Ik kan mijn arm niet bewegen. Mijn vingers tintelen. Laat me even met rust. Ik moet wat lopen. De pijn is groot. Iets verrekt denk ik. Ik blijf wat misselijk. Ik kan niks met rechts. Ik kijk wel toe. Ik kan meedoen met het mijnenveld! Mijn benen doen het nog! Hoe erg kan het zijn? Ik wandel mee, al blijf ik wat misselijk. Ik had zó graag de waterbanen gedaan, maar er zit geen kracht in de arm, dus ik moet het niet doen. Ik beloof Jef dat ik er naar zal laten kijken. Ik app Vincent. Helemaal helder ben ik niet, want hij kan natuurlijk niks doen. Maar na de activiteit bel ik Rob. Dat ik mijn telefoon niet bij mijn oor kan houden is een grote rode vlag. Ik kan mijn arm niet optillen. Vanaf mijn bovenarm tot mijn rug doet het pijn. Veel pijn. Op aanraden van Rob vraag ik naar ehbo bij het SEC (buitensportbedrijf). Ze komen om te koelen en ik kan mijn trui niet uit doen. Ik mis alle beweeglijkheid. Iedereen zit er bij, maar ik voel m aankomen: het is echt mis. Niet zwemmen. Iets kapot. Paar tranen. Ik bel de huisarts en maak een afspraak. Ik bel Rob om me op te halen. Het is al ruim een uur nadat het gebeurt is. De misselijkheid is wat weggetrokken. Jef loopt mee want ik wil ergens anders zitten. Er komt vanuit SEC een formulier en dat is voor mij de volgende klap: ik kan niet schrijven. Ik ben niet boos of verdrietig of teleurgesteld; ik vind het nog grappig dat “overleden” een uitkomst kan zijn. Ik drink wat water, maar ik hoef niet veel.

Ik zie Rob aankomen en pak mijn spullen. Het lukt allemaal, maar de pijn is groot. Ik kan door veel pijn heen, dat ben ik gewend, maar ik denk dat dit een verrekking is. Ik kan appen. Met links. We rijden naar de huisarts en wachten weer een kwartier. Ze ziet niks, maar mijn pijn is te groot. Ze denkt aan een pees scheurtje. Door voor een foto naar het ziekenhuis. De huisarts kent triatlon wel! In het ziekenhuis kan ik pas na 5 uur bij de huisartsenpost terecht voor een röntgenfoto. Even thuis langs voor een paar koekjes en wat drinken. Zelf een fles open maken lukt me niet. Rob appt en Vincent ook. Die gaat naar een terras. We zien een paar collega’s nog op de parkeerplaats: jo, jef en ma. Ik vind het ziekenhuis moeilijk. Ik haat deze plek. De huisartsenpost gaat net open. Ze lopen mee naar radiologie. Er worden 3 foto’s gemaakt. Ik mag mijn shirt aanhouden. En dan weer wachten. Ik moet de hele tijd plassen. En dat is lastig met 1 hand! Is dat een reactie van het lichaam, dat vele plassen? Er komen wat andere mensen; 1 meneer grapt dat hij zijn duim er met het stanleymes niet af kreeg. Ik snap die reactie wel: het heeft geen zin om te sippen, ik voel me ook nog vrolijkjes. Maar pijn hebben kost veel energie. Ik kan het echt allemaal minder goed snappen. Vincent komt ook. En dan worden we opgehaald. Na een uur. Ik raak het besef van tijd kwijt. Ze zegt: slecht nieuws he, dat ik je ophaal. Ik heb een breukje in mijn schouder. Dat komt hard aan. Zolang ik zat, voelde het beter. We lopen binnendoor naar de spoedeisende hulp. Er wordt verbouwd. Daar moet ik me melden. Een grappig vriendelijke mevrouw meldt dat het druk is en ik krijg een bandje. Tering, wat is er joh! Ze verifiëren mijn gegevens. Weer even wachten en dan een screening plek. Ze vragen wat ik heb gedaan en gokken op vallen met de fiets. Het is veel stommer dan dat! Ik leg ze uit en ze kijken even en ik krijg 2 paracetamols. Het dringt door dat dit lang gaat duren. Langer dan een week IJsselmuiden missen, zelfs mei lijkt afgeschreven. Pas als Rob en Vincent er bij komen vertellen we over triatlon. Weer een wachtkamer vol mensen. Ik kan het wel aan Vincent vertellen. Maar deze plek is nóg erger! Dokter Martijn haalt ons op. Hij laat de foto’s zien en gelukkig had ik Rob al gevraagd foto’s te maken van de foto’s.

Ik zie het niet zo heel goed. Ik hoor het: 3 weken niet sporten. Het moet weer aan elkaar groeien. Zelf. April en mei afschrijven. Geen triatlons. Binnen fietsen. Om wat conditie vast te houden. Niet hardlopen. Dat is zwaar voor een verslaafde! Over een week terugkomen. Ik krijg een sling. Ik update Jef en Ma en Jo zijn er bij en appen me ook. Joyce had ik al geappt voor de röntgenfoto. Die baalt met me mee. De dokter gaat vragen of een mri nog nodig is. Gelukkig niet. Ik krijg die sling, maar voor mij helpt het niet echt. Ik vraag hoe ik moet slapen en de dokter zegt: ogen dichtdoen 😆 ook over werken kan hij weinig zeggen. Ik ben blij dat er echt iets is en niet zomaar pijn. Maar ja, juist dat er iets is is erg pijnlijk. Hij helpt me met de sling, maar dat is vooral dat je ziet dat er iets is en dat rechts gefixeerd is. We lopen weer naar de auto en ik heb trek en pijn.  Dat het triatlonjaar voorbij is voor de eerste triatlon is pijnlijk. Ik heb mijn zorgbudget opgebruikt! We eten frietjes. Ik dek de tafel met links. MvdB belt me direct, de schat. De trainster is net even niet bereikbaar helaas. Ik bel de ouders. Ik had gelukkig de stappen gehaald. Rechtop zitten gaat nog het beste. Dat alle scherpte weg is merk ik wel bij het rummikuppen. Alsof ik er niet helemaal bij ben terwijl ik er erg van geniet. Ik schrijf het van me af. Op voor een lange nacht en het accepteren van een hoop verlies. 

11 April – Veroordeeld tot wandelen

Slapen viel me mee. In het begin strak op mijn rug liggen en een pijnloze houding zoeken tussen de kussens. Ik doezel weg. Om 2 uur kan ik met moeite de tijd vinden en ga ik naar de wc. Uitstappen is lastig. Weer gaan liggen. Ik krijg het door en rol voorzichtig op mijn linkerzij en kan mijn arm dan ondersteunen. Gebruikelijke slaaphouding. Ik slaap weer tot 5 uur. Dan zweet ik en heb spasmes in mijn benen. Lastig. Ik probeer aan al die gave dingen te denken die ik heb gedaan en slaap tot 8 uur door. Een 6,6 als slaapscore! De pijn is wat verminderd. Als ik blijf liggen. Aankleden is een ramp. Niezen nog meer. Vincent helpt met het ontbijt en ik lepel het moeizaam met links weg. De bank is mijn vriend. En mijn telefoon. Lieve appjes van collega’s. Ik loop met Rob naar de ah en dat gaat goed. Beter dan de jas aandoen. Ik bel met de trainster. Ik heb me er bij neergelegd dat alles voorlopig voorbij is. Ik kan het prima hebben als de rest en Vincent door gaat. Ontbijt ook als lunch. En dan weer de bank. Ik val in slaap! Is het zo vermoeiend?! Op de bank is er geen pijn. Wel wat verveling. Ik kan puzzelen en schrijven met het boekje onder me. Ik ga wandelen met Vincent. Ik móét naar buiten! Het doet niet meer pijn als naar de wc gaan of opstaan, maar ik hou er een beter gevoel aan over. De wind, de bomen, de lucht maakt me blij. Dat ik nog iets kan. Al is het dit voorlopig!

Vincent loopt in zijn training met me mee en ik loop alleen terug. Heel fijn. Ik ben er wel moe van, maar dit kan ik blijven doen, lekker wandelen. Op de bank lees ik het boek over tijdreizengedoe uit. Pannenkoeken eten is lastig. Ik merk dat mijn lijf niet bezig is met eten. Ik heb ook geen koorts. Ik wil veel zelf proberen. Ik vind het echt kut dat ik niet kan werken. De triatlons zeg ik wel af. En de stomme dingen: geen sokken aan kunnen doen, niks oprapen, kleren aan of uit doen. Ik krijg nu ineens alle rustdagen voor mijn kiezen die ik de afgelopen jaren geskipt heb!

12 April – Wandelen kan nog!

Ik heb úítstékend geslapen! 10 uur. Diep. Gedroomd van survivallen, dat wel. En 1 keer wakker om te plassen, 1 keer om 5 uur en om 7 uur met het idee dat het tien uur was. Daarna verder geslapen. Opstaan zonder pijn! Dan is de sling nodig, anders pak ik alles met rechts aan. Sokken zijn echt onmogelijk. Verder lukt alles met een hoop extra stappen. Ik heb wel zware stemmingswisselingen. Enerzijds gewend aan niks-hoeven en een paar dagen compleet niks kan best een keer, anderzijds verdrietig dat niks kan voorlopig qua sport. Alles afzeggen is zó pijnlijk. 3 triatlons die ik niet ga doen de komende 3 maanden. Soms voelen dat dit het einde kan zijn. Misschien kan ik nooit meer zwemmen… Als het een half jaar kost met mijn schouder. Ik ben niet verdrietig of boos, maar machteloos. We gaan terug naar het SEC. Rob en Vincent willen mee. Degene die me aan ijs hielp herkent me meteen. Ik kan de plek omschrijven en we lopen er heen. Geen wrok, geen paaltje, nergens op gevallen, alleen heel veel pech. Heel veel. We gaan wandelen. Dat is vermoeiend voor me, maar wel erg lekker! Zeker in het bos moet ik goed opletten. Maar het is zo fijn! Gezellig met zijn drietjes. Vind mamsie fijn.

Ik volgde de hele dag de tijdritten en andere sportevenementen. Sommige mensen gun ik het oprecht en anderen zijn ergerlijk irritant. Na een blessure opeens een razendsnelle marathon, zogenaamd anderen helpen, het belangrijkste is het podium en meer gekijkmij. Ik vind MvdB de enige echte topper! Voor mezelf is het moeilijk om al die successen voorbij te zien komen en zelf nog even te zwijgen dat ik misschien nooit meer mee kan doen. Of een kunststukje moet gaan uithalen voor augustus, terwijl ik nu van een half uurtje wandelen al moe ben. Niet kunnen gaan werken en niks moeten doen, klinkt goed, maar ik voel me erg schuldig. Ik kan toch gewoon denken! Maar typen is lastig en alles is vermoeiend. Rond 4 uur weer pijn, maar de paracetamol helpt. Eten blijft lastig. Garmin was piek, nu herstel.

De tekst voor de social media is klaar, maar ik wil nog niets met wie dan ook delen. Het kleine kringetje is even genoeg.

Geen tegeltjes meer  – Gebroken

Een week voor ‘t begon, is mijn triatlonseizoen tot stilstand gekomen. Voor aankomende maanden april en mei heb ik me voor de ingeplande triatlons afgemeld. Of een halve triatlon in juli in Ierland gaan lukken, is de vraag. Verder in het jaar hoop ik alleen maar op wonderbaarlijk spoedig herstel en het doorzettingsvermogen om weer op te pakken wat nu stil is gevallen. 

Ik was heerlijk op weg: er was enig fietstempo te vinden op de tijdritfiets, ik vloog op de carbon hardloopschoenen en met zwemmen oefende ik zonder hulpmiddelen. Maar de trainingsopbouw is bruut verbroken. 

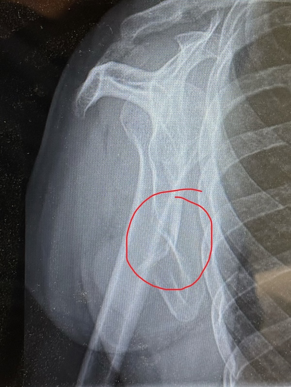
Ik heb mijn rechter schouderblad gebroken. 

10 april. Een bedrijfsfeestje. Survivallen. Een stormbaan met een netje nog geen meter boven de grond. Ik ben verkeerd gevallen. Precies fout. Pijn, misselijkheid, toch maar naar de huisarts, foto’s in het ziekenhuis. De rest van april draag ik een sling om er voor te zorgen dat ik mijn rechterarm niet gebruik. De breuk moet zelf genezen. Met rust. Niet fietsen (al kan binnen wel), niet hardlopen en met zwemmen kan ik waarschijnlijk pas over 6 weken weer beginnen. 

Werken, een jas aandoen, een boterham smeren, iets van de grond oppakken, typen, sokken aantrekken: dat alles blijkt van de ene op de andere dag erg lastig of onmogelijk te zijn. Wandelen, slapen op mijn linkerzij en DuoLingo ‘uitspelen’ kan gelukkig wel! 

Niets of niemand valt dit te verwijten. Ik doe geen loze beloften dat ik ‘sterker terugkom’ of dat ik ‘hier beter uit ga komen’. Het is een flinke domper. 

Beterschap wensen helpt me niet, want ik kan botgroei niet versnellen. Ik heb veel kracht en energie nodig om datgene te doen wat voor mij het allerlastigste is: rust houden. Hoop houden en de wilskracht bewaren om weer verantwoord op te bouwen over enige tijd. 

Maar voor nu: weet iemand nog een goed boek?!

Ik plaats deze tekst op 21 april pas enigszins gewijzigd op Instagram (zonder dat mensen kunnen reageren)

13 April – De échte pijn

Elke ochtend als ik wakker werd, dacht ik binnen een half uur aan wat ik mocht doen aan sport op de dag. Past het hardlopen na de werkdag? Fietsen we binnen of buiten vandaag? Wissel ik iets omdat ik me vandaag sterker voel? Lukt de zwemtraining? 

En was het niet voor vandaag, dan keek ik verderop in het schema. Wanneer kan ik het beste die lange fietstraining doen? Met wie wil ik weer een keer hardlopen? Hoe lang moet de route zijn? Waar ben ik al lang niet meer langs gefietst? Hoe haal ik vandaag mijn stappendoel? Waar zal ik eens stoppen onderweg? Welke fiets pak ik vandaag? Op welke dag kan ik het beste bootcampen? Wat past bij deze lastige intervallen? Kan ik iets combineren? Welke route is er nog over in Zwift? En veelvuldig: welke Garmin badges zijn er? 

Ik verheugde me op het sporten. Puzzelde alles in elkaar. Was bezig met het weer, de wind en het trainingsdoel. Zorgde dat ik stopte met snaaien 2 uur voor de hardlooptraining. At extra gezond op de dag voor een lange training. Wandelingen invoegen. Elke dag buiten zijn. Ook in de regen, de sneeuw, de storm. Doelen stellen. Wedstrijden bepalen. Op een rustige avond werkte ik mijn sportblog bij. 

Het sportschema is mijn grootste houvast. Het wedstrijdschema een ideale doelenlijst. Garmin is mijn steun en toeverlaat.

Sport is een overvolle box herinneringen. Sporten is mijn grootste hobby, mijn passie, mijn lust en leven. Een verslaving. Die vaak moeite, last en gemopper met zich meebrengt. Die veel van me vraagt. Maar ik voel me er altijd beter door. 

Toen ik mijn schouder bezeerde was de eerste gedachte: ik kan zo niet zwemmen morgen. Een uur later dacht ik: de drie uur durende fietsrit overmorgen gaat ook niet lukken. Ik was blij dat mijn benen het nog deden. Liep nog. Maar dat ik mijn schouder en rug ook nodig heb voor het hardlopen stond ik pas bij stil toen de arts het zei. 

En toen stond ik stil.

De stilte en het niks is intens groot. 

Overweldigend. 

En nu is het over. 

Hoef ik het weer niet meer te checken. 

Een leeg schema. 

Doelen liggen ver weg en zijn erg onzeker. Afzeggingen. 

Er is een enorme leegte. 

Rennen kan niet, want dat geeft teveel druk. 

Of zwemmen weer lukt dit jaar moet ik afwachten. Of het ooit weer kan. 

Wandelen kan en moet. Buiten. Hoe vermoeiend het ook is. 

‘Je kan straks weer fietsen binnen’, zei de dokter, ‘maar daar heb je de komende dagen vast geen zin in.’ Fout. Ik ben verslaafd en zou liefst direct weer gaan fietsen! Dat beetje pijn heb ik er voor over. Pijn is niet de grootste bedreiging. Afkicken is zwaar onderschat. Cold turkey afkicken van een verslaving. 

Ik hou het best een tijd op afstand, de Grote Leegte en ik ben optimistisch en positief. Ik hoop met mijn conditie het herstel te kunnen versnellen. Er is geen jaloezie of boosheid op degenen die wel verder kunnen (al wens ik met enkele opscheppers te ruilen), omdat het zoveel pech is. Niemand is iets te verwijten. Geen te zware trainingen, niet overtraind of oververmoeid. Niet overmoedig of slecht geïnformeerd, gewoon net verkeerd terecht gekomen en meer dan vette pech. 

Fysiek kan ik de pijn aan. Die is groot, want ik werd er misselijk van en het lijf heeft alle zeilen bijgezet om door te gaan. Ik kan stil zitten en rechts niet gebruiken en niet over de pijn heen gaan. Ik kan accepteren dat een heleboel dingen lastig en vermoeiend zijn. 

Maar mentaal is het heftiger dan ik iemand kan vertellen. Alles waar ik voor leefde is (letterlijk) in één klap weggevallen. Een Grote Leegte. Dat is de échte pijn. 

Ik ga maar weer wandelen buiten. Wandelen kan nog prima! Ik sliep slecht, want de realiteit dringt zich wel op. Hoe kom ik hier doorheen en overheen?! De echte pijn is niet fysiek, maar mentaal. Níet werken voelt als spijbelen. Wandelen is extreem vermoeiend, maar wel echt heerlijk en broodnodig!

Overdag valt de mentale struggle door te komen. Ook als ik alleen ben. Rob is in Berlijn, Vincent aan het werken. De pijn valt nu mee, totdat ik de deur voor de kat dicht wil doen en rechts gebruik… Ik krijg veel appjes en medeleven. Maar hoe het echt voor me is om opeens te moeten afkicken is moeilijk uit te leggen. Het doet pijn als ik van een lieve collega lees dat ik de meest sportieve aanwezige was en dat ze het herkent van een nekwervel.

Ik eet ‘s avonds brood met knakworst en salade. Vincent moet het blik openmaken. Ik kan wel steeds iets meer zelf, want ik kan met rechts ondersteunen. Dus sokken aandoen lukt me. Maar mijn haren doen: dat is écht onmogelijk!

14 April – Fysieke pijn neemt sterk af, maar juist dat maakt het moeilijker te accepteren dat ik geen enkele prognose heb of vooruitzichten zie. De vermoeidheid is extreem. Die zit echt letterlijk tot in mijn botten. Ik ben wel eens moe van hardlopen of trainen, maar dit zit veel en veel dieper.

We gaan maar weer wandelen.

Ik sliep niet so best: laat in slaap, veel herrie. Maar wel lang door. Laat opgestaan, rustig ontbeten en toen met Vincent samen gaan tanken en wandelen.

Langs de dijk en het bankje.

Het is kei mooi en goed te doen, maar ook erg vermoeiend. Alsof mijn lijf te moe is. Ik word niet ongesteld, heb geen koorts, maar er wordt van binnen hard gewerkt! Hopelijk helpt het herstel. ‘s Middags ben ik alleen als Vincent lekker gaat fietsen. Heerlijk weer! Ik lig op de bank. Eigenlijk geen zin om iemand te spreken. Ik ben jankerig en verdrietig. Als niemand minder dan Alan van de Hardman appt om te vragen hoe het ons gaat, moet ik echt even janken.

Verder ben ik extreem moe, maar ik kan niet tot rust komen of lezen. Typen lukt me eventjes voor de blog. Ik slaapwandel met Vincent naar de winkel en slaap net even voor het eten. Dat en eten helpt. We kijken lekker The Fellowship.

Eerdere notities: fysiek weinig pijn meer. Echt opvallend. De andere schouder heeft spierpijn, ik heb hoofdpijn en krampen en zelfs jeuk, maar de pijn rechts is hooguit ietsje gevoelig. De mentale pijn is echter heftiger dan eerder. Huilerig. Vedrietig. Mijn lijf werkt tegen mij. Het voelt oneerlijk. Waarom ik?!

Moya Brennan is overleden en het is World Puffin Day. Tranen genoeg.

15 April – Met iemand anders wandelen in het Kromslootpark

Vannacht draaide ik me op de verkeerde zij. Binnen een kwartier heb ik extra patacetamols genomen. Vanmorgen verslikte ik me. Dat is ook pijnlijk. Verder is de fysieke pijn wel weg. Maar ik ben gespannen, onrustig, verdrietig en extreem snel moe. Twee boekjes Lego en dan ben ik moe. Maar ik kan weer iets meer: een broodje smeren, dingen met twee handen pakken en een beetje kracht zetten met rechts (legoblokjes aanduwen). Ik app veel en kan candy crushen. Ik wil me niet vertonen bij de tva of het zwembad, dus ik ga met J wandelen. Kan Vincent zwemmen. En dan toch kijk ik even naar de routes en afstanden voor we gaan! Het lopen gaat heerlijk! Lekker kletsen, fijn tempo, even afreageren. Langs het bankje.

En dan door het Kromslootpark. We kwebbelen gewoon lekker door. En het lopen gaat prima. We lopen op en neer. De route is anders te lang. Pas na een kilometer of 5 gaat de schouder wat beurs voelen. Ik ben er moe van, maar het extreme is er uit. Door de buitenlucht denk ik. Als ik maar kan blijven wandelen is het best prima denk ik. Ik verschuil me in de auto. Volgens J (onze directrice van Social Schools) van mijn werk is het toewijding, mijn schouder breken als de SchouderCom websites end of life zijn. Het rare is nu dat er voor mijn hoofd snel teveel is. Dat vind ik gek. Ik kan pas volgende week dinsdag naar het ziekenhuis! Een rare lange periode. Tot die tijd niks. Weet ik niks, doe ik niks, kan ik niks. De menstruatie laat ook maar op zich wachten en ik heb ook weinig trek. Ik lunchte met fruit.

16 April – Wandelen met Joyce; weer in het Kromslootpark!

Ik vind dat ik best goed heb geslapen, maar Garmin vindt van niet. Stom. Ik heb wel moeite gehad om niet op de pijnlijke zij te draaien. Ik blijf langer liggen en ga douchen. De echte pijn is weg. Geen gekke bewegingen maken. Voorzichtig niezen. En dan is het echt prima te doen. Maar moeilijk om niet te proberen hoe ver ik kan gaan. Ik heb vandaag ook iets meer kracht en energie. Nog weinig hoop, maar wat minder zwaar. Vincent en ik gaan met Joyce lunchen. Ben ik weer bij het Eksternest. We zitten buiten! Die lieve, lieve Joyce. We kletsen, het is als vanouds hoewel er veel ongeluk tussen onze laatste ontmoetingen zit. Vincent rent naar huis, wij gaan wandelen. Kletsen. Door het bos, over het fietspad. Het Kromslootpark door.

We hebben veel te bespreken en te delen. Dat gaat vanzelf. Net als het lopen. De zon schijnt en het is heerlijk weer. We lopen over het fietspad en dan langs de parkeerplaats om via de urn en terug door het bos. Dat is leuk zoeken. Ik heb geen last van mijn arm of schouder of iets. Niet eens die erge vermoeidheid. We lopen het driehoekje om. Na een dik uur en 6km zijn we rond. Nog láng niet uitgekletst. Nooit. Het is fijn zo’n ‘zus’ te hebben. Ze brengt me naar huis. Vincent is net thuis. Ik heb eindelijk gewandeld en daar meer energie van gekregen dan het gekost heeft! Rob is op weg naar huis en ik kan nu makkelijk 3 boekjes lego bouwen en meehelpen. Ik voel me ook niet meer heel schuldig naar het werk. Het helpt dat de ergste pijn weg is en dat ik wandelend mijn conditie voorlopig flink kan bijhouden. Straks binnen fietsen erbij. En strijken met links natuurlijk, he mam! Not. Ik eet de tagliatelle en dat is best een domme keus natuurlijk, maar ik heb vandaag ook weer trek. Het blijft wanhopig hopen dat het beter gaat, maar vandaag was een goede dag. Rob is er ook weer en dat helpt.

17 April – Wandelend naar de Plus met Rob

Vannacht hoestend wakker geworden en vanaf dat moment was de pijn weer helemaal terug. De hele ochtend ook. Dat maakt me moedeloos. Blijven liggen is ook niks voor mij, maar ik voelde me ook écht niet fijn. Hopeloos. Ik heb geen zin om me te verantwoorden of iets te doen. De pijn zeurt. Rob stelt voor naar de Plus te lopen om brood te halen. We lopen met een fijne omweg. Het voelt als zaterdag. Het is warm, lekker weer. Ik zou de 5km vol willen maken.

We halen brood en spullen en Rob neemt de rugzak. Thuis merken we dat we de melk niet hebben en loop ik mee met Vincent naar de AH. Na het frikandellenbroodje en de buitenlucht voel ik me beter en bel ik al wandelend met mijn zus. Even langs de mooie bloesem aan de overkant.

Dan is de wandelbadge binnen en 30 dagen 30 minuten bewegen en de stappen zijn ook. Ik voel me beter, ook al is er nog wat pijn. Ik word dikker, weet nog steeds niets meer en heb nog weinig vooruitzicht wanneer ik weer wat kan gaan doen. Dat vind ik voorbij woorden moeilijk. Ik heb ook krampen en vreet teveel. Maar ik ben wel weer mans genoeg om een andere vriendin te bellen. ‘Je hebt de moeilijkste week gehad’, kirt ze, maar ik denk dat volgende week nog zwaarder wordt. Komend weekend al: iedereen kan vanalles van een triatlon en trails en fietsen terwijl ik alleen kan toekijken en stil sta. En vreet. En moe wordt. En pijn heb. Al neemt de pijn ‘s middags weer af. Als ik mijn boek lees. Zittend op de bank.

18 April: In plaats van de eerste triatlon, wandelen maar weer.

Geen triatlon. Ik ben er wel bij, maar aan de zijlijn. Ik sta op zonder pijn. En dat blijft ook zo! Ik ga voor de triatlon wandelen met Vincent. Haal ik mijn sporthalfuurtje mee.

We gaan naar IJsselmuiden. Ik mis de stress en spanning totaal niet!! Ik baal wel even heel erg als ik het zwembad zie, want dat had ik gekund. Ik had alles gekund. Maar nu hou ik S’s fiets vast en ben maar blij voor die jeugd. De sfeer is lekker relaxed. Ik kan ook Robs familie opvangen. Ik zie hoe goed Vincent zwemt. Dat had ik anders niet gezien. Dan had ik mijn eigen ding kunnen doen in baan 3. Ik kan rondlopen en heb echt weinig tot geen last van mijn schouder. Het grote gevaar is dat ik het dan ook vergeet. Ik heb de sling om, maar dat valt nauwelijks op. Ik ren even een stukje als Vincent wisselt, gewoon omdat ik het vergeet! Dat straft mijn rug meteen af. Voor de rest heb ik meer last van de zinloze krampen en van mijn rechterhiel. Hoe dan?!?! Ik support en leg uit en maak foto’s.

Ik word wel erg moe. Dat is anders als wanneer ik de triatlon doe, deze vermoeidheid zit veel dieper. In de auto val ik bijna in slaap! Maar na wat rust en na het eten is het wel weer oke. Hopelijk blijf ik zo vooruit gaan! Dan heb ik goede hoop. Ik heb alle afstanden nu afgeschreven en dat geeft wel wat rust. Misschien moet ik het ook niet meer willen. Alleen Waterville en de laatste hele van Nederland.

19 April – Wandelen, wandelen, wandelen…

Ik slaap wel weer goed. Geen pijn meer en ik kan zowat alles weer. Heb ook weer wat energie. Maar ik hou me enorm in. Lezen, Lego, sportbroekje aan. Ik heb andere pijntjes: rechtervoet en rug en línkerschouder. Het voelt stijf. Ik kan weer wat kracht zetten ook. Ik voel me vlak verder. Wel hoopvol. Dat ik ooit weer ongesteld word of beter. Dat ik weer kan rennen binnenkort of mijn arm trainen. Ik stel de wandeling vandaag wat uit en dan ga ik solo met een muziekje. Inmiddels loop ik moeiteloos op en neer naar het uitzichtspunt. Ik word er niet meer moe van en heb ook nergens last van.

Morgen nog maar een dag ‘spijbelen’ en dan hoop ik dinsdag echt meer te weten. Ik wandel wel lekker, maar vind het druk met zondagstappers. Als ik door wil wandelen naar de AH begint het te druppelen, dus ik vind het prima en ga naar binnen. Ik heb deze week 6,5 uur gewandeld. 34 km. Toch een soort van prestatie met hoe mijn lijf er aan toe is! Ik denk dat ik misschien deze break even nodig heb om te resetten en te zorgen dat ik straks minder kan trainen en toch kan doen wat in wil. Misschien dit jaar niet alles, maar ik zei altijd ook: zolang het kan, probeer ik alles… nu even niet meer dan. Ik heb in 2024 alles alles alles gedaan, dus als ik dit jaar het Hollandse Trio kan volmaken en lekker Waterville kan doen, is het toch mooi? Day by day. En als ik elke week vooruit ga zoals deze week, ben ik snel weer up en Running!

20 April – Terug op de fiets (Binnen) en een soort koppel-wandeling

Drie virtuele routes in Zwift. Terug op de fiets! Pfoe, dat valt wat tegen… ik heb nauwelijks nog pijn: mijn linkerschouder is minstens zo pijnlijk. Ik kan vanalles alweer. Had wel een te strak shirt en hemd aan. Maar de hele tijd rechtop zitten! Dat is verrekte lastig. Ik kan ook wel een beetje hangen zonder druk te zetten. Maar schakelen…. Dat lukt 1 keer en daarna in dezelfde versnelling blijven!

Ik doe korte routes: dan kan ik afstappen als het moet. Wel lekker in New York. Eerst de Time Square Loop van 3,5km. Het is echt even wennen. Stom zeg, alsof ik weken niet gesport heb! Ik ga ook niet zo hard. Ik maak 5km vol in ruim 10 minuten. Da’s nog best een lekker tempo. Ik heb uitzicht op de vreselijke buurman die steentjes in zijn tuin legt. Volgende rondje van 3,5 km door een park. Het is rustig. Ik draai wat op de fiets en een houding vinden is wat lastig. Rummikuppen of iets anders doen, dat kan effe niet! Maar fietsen wel. Goed voor mijn conditie en ik zweet ook lekker!

Ook nu maak ik 5km vol en doe daar 11 minuten over. Ietsje meer hoogtemeters. Ik drink de thee in de pauze, want die kan ik niet oppakken met links. Dan nog een route in New York in hetzelfde park van bijna 7,5 km. Gaan we weer! Ik scoor nog een shirtje ook!

Verder is het lastig de balans te vinden tussen willen inspannen en me er bij neerleggen dat het nergens voor hoeft. Het doet niet extra pijn aan mijn rug of schouder. Het is gewoon vermoeiend! De fan staat ook niet echt gericht. De buurman gaat aan de gang met een herrie-machine.

Ik maak de Issendorf Express Route vol en daarna ook nog de 10km. Ik had misschien meer gewild, maar 41 minuten is voor nu helemaal dikke prima. Flink gewerkt aan de conditie! Nog altijd een gemiddelde van 29 en dat met ook weer wat hoogtemetertjes. (131) afstappen is erg lastig, maar het moeilijkste is het om het shirt uit te doen! Daar heb ik wat last van naderhand!

Na het fietsen de Picnic mee opruimen en een ander shirt aan doen en even zitten en dan wandelen samen met Rob. Ik voel me vandaag een beetje een spijbelaar, maar ik denk dat een hele dag werken nog echt te vermoeiend zou zijn! Ik verveel me wel wat. Mijn boek was gisteravond uit en ik wil niet nog een keer zo’n spannend boek, dus even iets anders zoeken. Wandelen is inmiddels second nature en dat levert echt geen problemen op. We kletsen, het is mooi weer, maar niet te warm.

Ik moet vandaag de stappen halen voor de 60ste dag!! Dat vind ik dan knap van mezelf, ook al zet ik er geen tienduizend per dag en is 5000 soms als moeilijk genoeg. Zeker nu, zonder hardlopen. Hopelijk kan ik in de toekomst deze sportdagen weer uitbouwen en fietsen buiten met hardlopen combineren. Ik wacht af wat de dokter morgen zegt en ik bereid me voor op weinig begrip. Aan de andere kant: ik zal het toch wel allemaal zelf moeten uitzoeken. Zo gaat het nu eenmaal. “Ik kan niet ziek zijn dokter, ik doe aan triatlon en dat is al ziek genoeg”.

Ik lees allemaal prachtige comebacks op hele en halve triatlons, dus ik denk dat ik ook wel iets kan maken (maar de meeste comeback-helden en heldinnen zijn onder de 40!). Gewoon dag voor dag. De vreselijke blessures ben ik ook de baas geworden.

21 April – Nacontrole Trauma Unit in het ziekenhuis

Een half uur wachten en dan een korte uitleg van dokter van A, maar ik weet genoeg! Ik kan mijn vragen stellen. 

Hij had de foto en de informatie. 

Ik heb ook gevraagd hoe het kan dat ik zo moe was en dat is inderdaad de klap, het herstel en bloedtoevoer en een kneuzing en de spieren. 

Uitleg gekregen: het schouderblad is inderdaad heel flink gebarsten zeg maar. Goed gebroken. Na 3 weken is het weer aangegroeid. Herstel tot wat ik kon kan tot een half jaar duren. Hij heeft het aangewezen en uitgelegd dat de frictie en wrijving pijnlijk is als ik mijn arm boven 90 graden til. Als hij het aanwijst, voel ik daar niks van. Het zit hoger dan ik dacht. 

Wat ik niet kan is dus als die breuk langs de borstkas draait. Dan doet het zeer. Als ik dat toch doe, verergert de breuk niet. 

Ik heb een oefening meegekregen want die schouder gaat anders te snel vast zitten. Ik heb die thuis geprobeerd en dat voel ik boven in mijn arm! Ik moet (eerst zonder de arm op te tillen) rondjes draaien. Tot ik op schouderhoogte dat moeiteloos kan. 

Ik heb ook fysio aangevraagd. Dat krijg je anders niet en dan is het: zoek het maar uit, over 4 weken terugkomen.  KvH is pas half mei weer beschikbaar, dus ik heb op aanraden van SG een andere goede schouder-fysio aangeschreven. 

Het slechte nieuws: autorijden kan voorlopig niet.  Dat is wegens onverwacht snel moeten bewegen nog onveilig. (Maar je krijgt er geen boete voor  😆) Fietsen buiten ook niet. Zwemmen was misschien wel goed, maar nu nog niet en hij dacht aan schoolslag 😆

Het goede nieuws: werken kan weer. Maar het beste: hardlopen kan ook! Hij zag niet in waarom niet. Veroorzaakt geen extra klappen. 

Alles op geleide van pijn. En daar zit het hem: die zou ik uitschakelen om te kunnen hardlopen. Daar heb ik dus een fysio voor nodig. 

Want hoe vaak moet ik dat rondjes draaien doen? Als het aan mij ligt: de hele dag! Dan voel ik het sterker worden denk ik. 

Dan ga ik maar weer binnen fietsen. Even verwerken wat er kan en mag. Vincent komt terug en heeft in het Amsterdamse concertgebouw gespeeld! Was op ‘n schoolexcursie. Ik regel het werk voor morgen (halve dagen) en ik ga aan het bloggen. Valt een beetje tegen, dat typen. Ik doe de oefening en ik voel daardoor mijn arm. Maar ik wil fietsen! Binnen natuurlijk. Ik heb een fijn jasje gevonden. Meteen als ik opgestapt ben voel ik dat het lekker gaat! Of dat opluchting is of dat de versnelling goed staat of dat de benen weer weten wat ze moeten doen, geen idee. Binnen 3 minuten heb ik al een shirtje en ik laat het niet meer los ook. Zo’n shirtje krijg je voor een snel segment. Voor de vrouwen is een aparte categorie en vandaag zijn er maar weinig dames in New York.

Ik kan iets beter zitten op de fiets en hangen nu ik verder niks kapot kan maken. De route is ruim 10km, de cola staat voor me, de fan is beter gericht. Ik fiets weer in Prospect Park in New York. Er is daar bijna niemand en ik scoor nog een paar shirtjes. De route van ruim 10km gaat drie keer over de rotonde! Ik app met Vincent die een runPR op de km neerzet. Na de route heb ik 3(!) shirtjes en fiets ik door naar 15km.

En dan wil ik ook shirtje 4 met de loop en dan zit ik op dik 17km. Geen zin om een ander rondje te zoeken, dus ik trap gewoon lekker door in mijn shirtjes-kwartet. Ik zweet wel, maar ik ben ook ongelooflijk blij dat ik op deze manier kan blijven fietsen en mijn conditie kan behouden en ook nog hoogtemeters kan trainen! Vincent komt kletsen en ik wil 25km vol maken. De buurvrouw en de buurman van 8 staan in hun tuin, hij met sigaret. Rob komt ook even kletsen en ik passeer de 25km en ga er overheen. Dan de 30 maar volmaken! Ik word wat vermoeider en verbeter geen segmenten meer.

Uiteindelijk fiets ik 30km in 61 minuten. 29,6 gemiddeld. 170 hoogtemeters. Cadans van 79 en dat is super voor mij! Ik schakel nog steeds niet. Ooit kan ik weer buiten fietsen, maar dan zijn er geen tulpen meer vrees ik.

En nog even wandelen voor de veiligheid. Ik moet niet doodmoe aan hardlopen beginnen. Gewoon wandelen. Toen ik met Rob naar huis reed, zag ik een soort ‘wisselzone’ op een plek waar ze weer gaan bouwen. Vincent wandelt met me mee. Zo leuk om samen te kletsen!

Geen idee wat voor rare wisselzone het is of wat ze gaan doen. Er staan hekken en er liggen platen. Daarna lopen we door de binnentuin. Grappig, hoe prachtig dat is. Toch de tulpen en de natuur, maar midden in de wijk.

Ik wil ook nog even langs de bloesems voor onze deur in het park. Die dwarrelen nu als sneeuw rond. Dat is een lieflijk gezicht.

We zitten op het bankje voor onze deur in het park. Dat voelt raar. Maar de bloesem 🌸 is hier nu op zijn best! We wandelen niet ver, maar het is wel genoeg zo! Op naar verder trainen, uitbouwen en hoop houden. Ik denk dat ik Ierland kan doen, desnoods op schoolslag. Maar nu eerst weer werken! Ik zie er tegenop (wat zal het vermoeiend zijn) en ik kijk er naar uit weer iets te betekenen! Ik zet mijn verslagje eindelijk op instagram. Nu durf ik het wel. Nu er uitzicht is. Ik ben wel weer blij na deze dag. Nog steeds geen periode, maar wel blij.

De laatste ‘vrije’ dag. Blij met goede berichten uit het ziekenhuis en dat de fysio kan. Heel blij dat het niet verder stuk kan. Dat ik mag hardlopen. Dat er licht glooit in de verte. En dat fietsen alweer goed lukt! Dat ik niet gek was met de vermoeidheid. Vol goede moed!

Leave a Reply

Your email address will not be published. Required fields are marked *

1 × 4 =